Lamine porselen uygulamaları, diş hekimliğindeki en son teknolojik gelişmelerin olanak sağladığı uygulamalar arasındadır. Bu uygulamalar, ağız bölgesinde estetiğin günümüzde gelinen zirve noktaları arasında sayılabilir.

Lamine porselenler, dişlerdeki renk ve form bozuklukları, açıklıklar, çapraşıklıklar gibi istenmeyen görüntüleri düzeltmenin çok sağlıklı ve avantajlı bir yöntemidir.

Cenap Adaş Laminate Porselenler

İster metal altyapılı, ister metal altyapısız olsunlar, porselen kron uygulamaları diş yüzeyinden belli bir miktarda doku aşındırılmasını gerektirirler. Oysa bir dişe porselen laminate uygulayabilmek için o dişten aşındırılması gereken miktar, kronlarla kıyaslandığında yok denecek kadar azdır.

Cenap Adaş Laminate Porselenler

Dişlerin sadece ön yüzeylerinden genellikle 0,3 mm-0,5 mm arasında oldukça ince bir tabaka kaldırılır. Alınan ölçü üzerine laboratuarda çok ince porselen kapakçıklar hazırlanır ve dişlere yapıştırılır. Diş yapısının uygun olduğu durumlarda doğal dişlere dokunmadan ve hiç aşındırma yapmadan da uygulama yapılabilir.

Cenap Adaş Laminate Porselenler

Lamine porselenler son derece incedirler

Laminate porselenlerin minimum diş kesimiyle gerçekleştirilebilmeleri, doğal ve canlı görünümleri ve zamanla renk değişikliğine uğramamaları en önemli avantajları olarak sayılabilir. Çok ince işlendikleri için dişeti uyumları mükemmeldir. Ayrıca özel yapıştırma yöntemleri sayesinde dişe mükemmel tutunurlar.

Cenap Adaş Laminate Porselenler
Cenap Adaş Laminate Porselenler

Üst ön kesiciler arasındaki açıklık, lamine porselen uygulanarak kapatılmış

Cenap Adaş Laminate Porselenler
Cenap Adaş Laminate Porselenler

Üst ön bölgede çok sayıda açıklık lamine porselen uygulanarak kapatılmış

Laminate porselenlerin başlıca uygulama alanları şu şekilde özetlenebilir:

- Renklenmelerde, bleaching (diş beyazlatma) gibi yöntemlerle sonuç alınamayan ileri derecedeki antibiyotik, flor vb. lekelerinde,
- Kalıtsal yapı ve renk bozukluklarında,
- Ayrık dişleri birleştirmede (diastema kapama),
- Kırık veya aşınmış dişlerin restorasyonunda,
- Rengi ve yapısı bozulmuş eski dolguların düzeltilmesinde,
- Çapraşık ve eğri dişlerin düzeltilmesinde (ortodontik tedavi alternatifi olarak) son derece tatmin edici çözümler olarak değerlendirilebilirler.

Cenap Adaş Laminate Porselenler

Üst ön dişlerde yapısal bozukluklar

Cenap Adaş Laminate Porselenler

Lamine porselenler için minimum kesim yapılmış

Cenap Adaş Laminate Porselenler

Hazırlanmış lamine porselenler

Cenap Adaş Laminate Porselenler

Lamine porselenler yapıştırıldıktan sonra

Cenap Adaş Laminate Porselenler

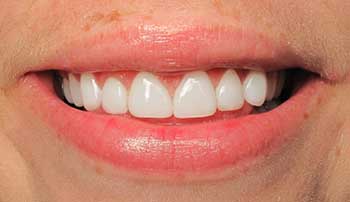
Tam şeffaflıkları nedeniyle lamine porselenler doğal diş dokusuyla aynı görüntüyü verirler

Porselen lamine uygulamaları çok hassas bir teknikle gerçekleştirilirler. Bu nedenle çok iyi bir klinik ve laboratuar çalışması gerektirirler, gelişigüzel ortamlarda sağlıklı olarak hazırlanmaları olanaksızdır. Diş hekiminin ve birlikte çalıştığı diş teknisyeninin bu konu üzerine teknik bilgilerinin, oluşturdukları ortak dilin, artistik yeteneklerinin tam ve uyumlu olması gerekir.

Cenap Adaş Laminate Porselenler

Alt ön dişlerde hafif çapraşıklıklar

Cenap Adaş Laminate Porselenler

Laminate veneer uygulamaları sonrası

Cenap Adaş Laminate Porselenler

Site içeriğinde bulunan bilgiler, diş hekimliği ve tedavi yöntemleri konusunda bilgilendirmek içindir.
Bu bilgilendirme kesinlikle hekimin hastasını tıbbi amaçla muayene etmesi veya tanı koyması yerine geçmez.

Paylaş: